ECLAIRCISSEMENT

Avant même d’évoquer un traitement éclaircissant, le patient pourra s’assurer de sa réelle indication après un détartrage et polissage rigoureux de ses dents. Nous évaluons ensemble la couleur initiale qu’ont les dents à éclaircir une fois les dépôts et les colorations éliminés.

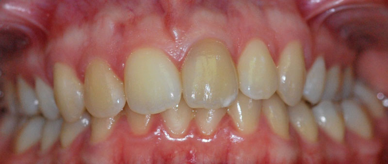
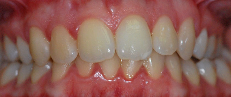
  • Eclaircissement interne : La teinte d’une dent naturelle peut se dégrader avec le temps pour de multiples raisons : calcification, traumatisme antérieur, colorations iatrogènes à cause de matériaux d’obturation. Il existe un moyen de retrouver la clarté d’une dent dévitalisée en posant un produit éclaircissant à l’intérieur de sa couronne naturelle. Nous surveillons et renouvelons l’opération jusqu’à l’amélioration effective de la couleur.

    Avant
    Après
  • Eclaircissement externe : Appelé communément « blanchiment » le soin se délivre de façon ambulatoire. Nous prenons des empreintes complètes de vos dents qui fourniront au prothésiste le moule nécessaire à la confection des gouttières. Elles sont à porter ensuite chaque jour, quelques heures, chargées d’un gel éclaircissant que nous vous remettons. Le temps du soin et la quantité de seringues de gel sont évalués en fonction de la teinte à éclaircir et du souhait du patient.

Votre navigateur est obsolète !

Mettez à jour votre navigateur pour afficher correctement ce site Web. Mettre à jour maintenant

×