ENDODONTIE

L’étymologie grecque du mot nous éclaire : Endo = intérieur et Odonto = dent. L’endodontie est la discipline dentaire qui traite de l’intérieur de la dent. Elle consiste dans la prévention, le diagnostic et le traitement des maladies de la pulpe dentaire et des infections péri-apicales (dans l'os autour des racines). Le microscope, le scan 3D et la radiographie numérique nous aident dans la réalisation de nos traitements endodontiques.

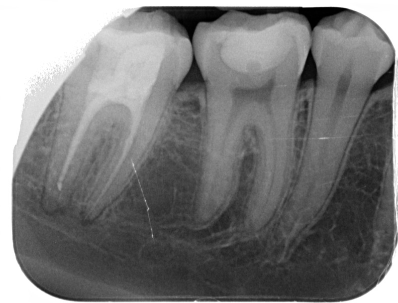
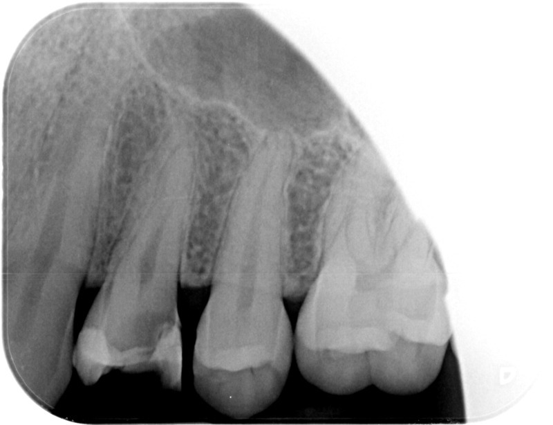
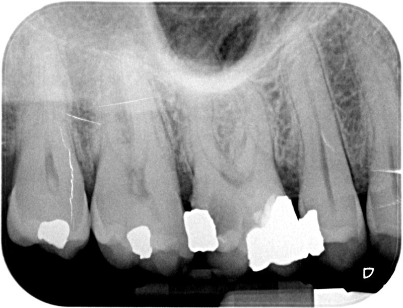
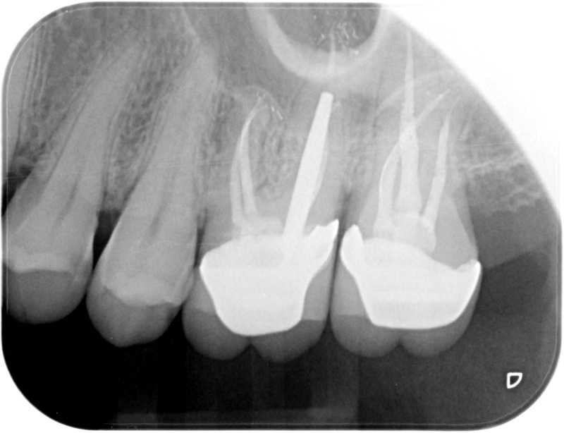
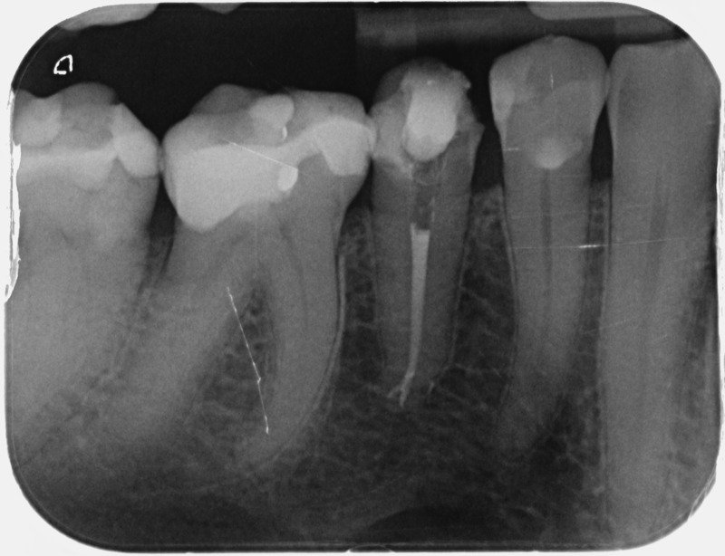
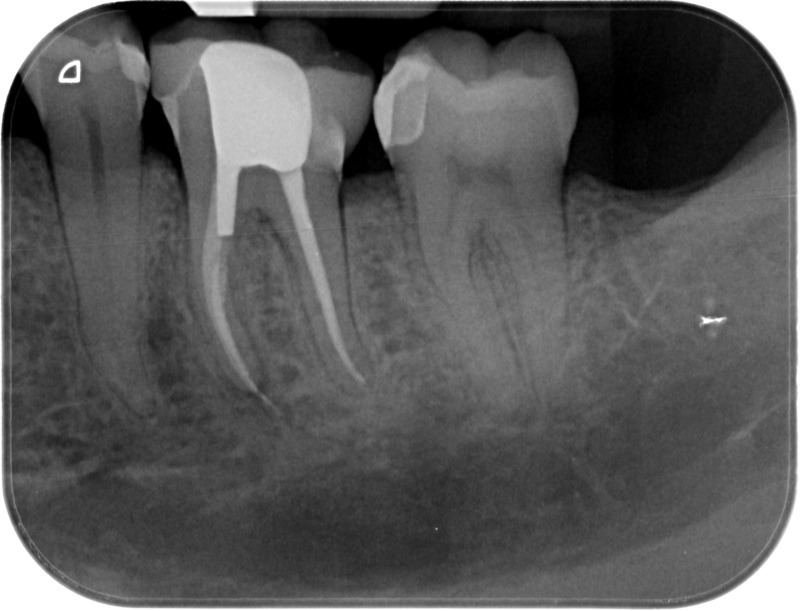
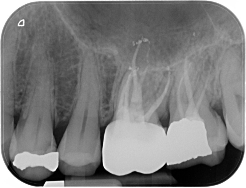
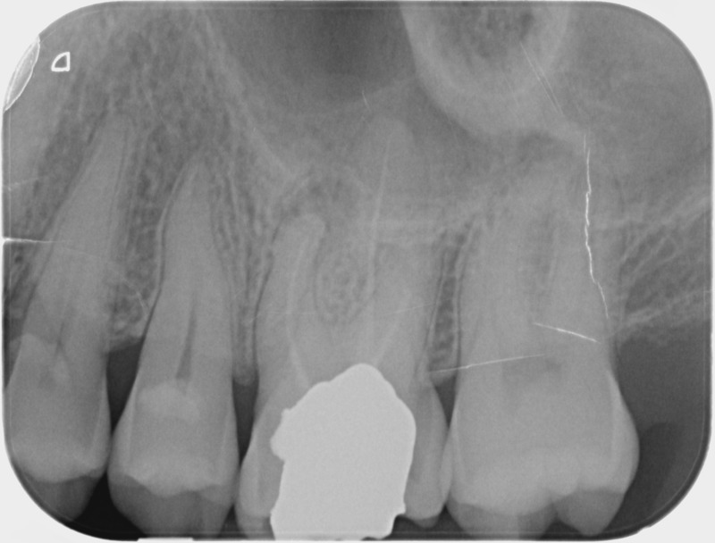
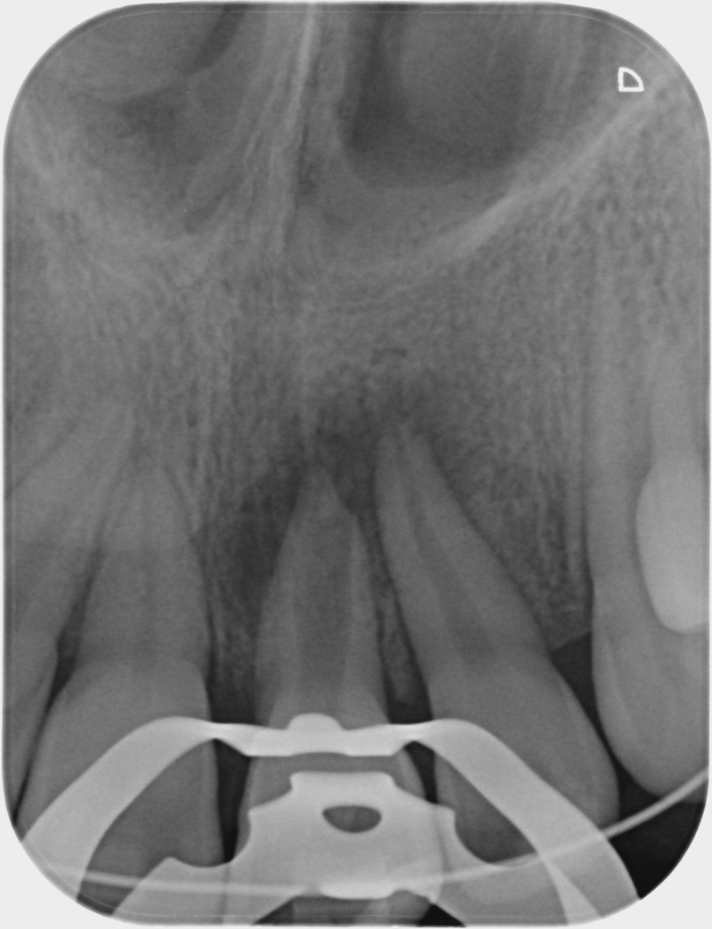
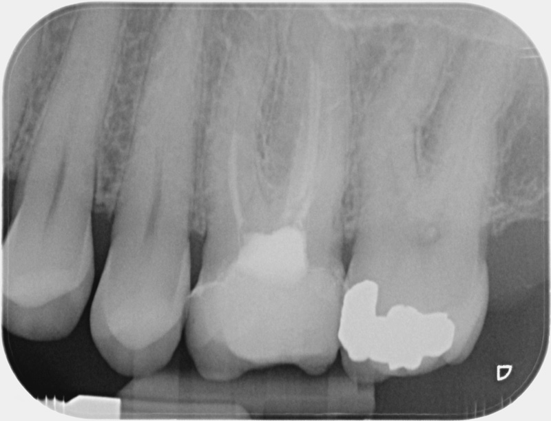
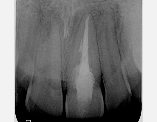
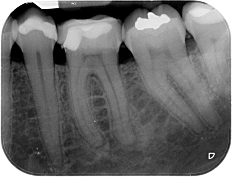
  • Traitement endodontique : Sous anesthésie locale et à travers la protection d’un champ opératoire nous accédons à la pulpe de la dent à soigner, puis aux canaux de ses racines que nous devons désinfecter. Ce soin nécessite l’élimination complète de la source de contamination (souvent la carie) parfois sous une ancienne reconstitution ou une couronne qu’il faut alors retirer. Une fois le nettoyage et la mise en forme des canaux réalisés, nous les obturons de façon hermétique avec un ciment et un matériau thermoplastique appelé Gutta Percha. Ceci afin d’empêcher une nouvelle prolifération bactérienne et d’assurer le maintien de la dent dans ses structures de soutien (ligament parodontal et os alvéolaire). L’ouverture effectuée au centre de la dent sera d’abord refermée avec un pansement provisoire avant d’envisager ensemble la reconstitution d’usage : un composite, un inlay-onlay ou une couronne.

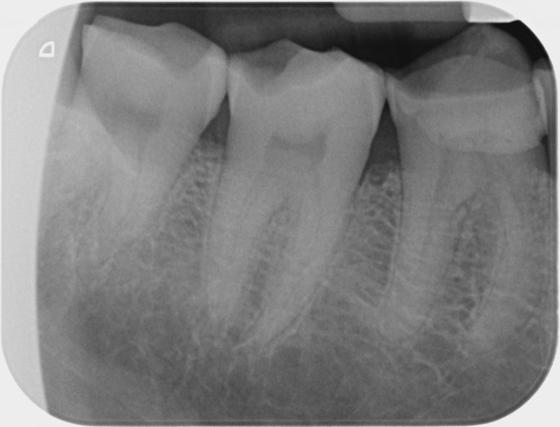
    Avant
    Après
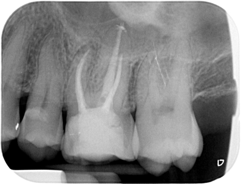
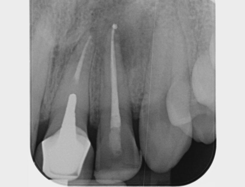
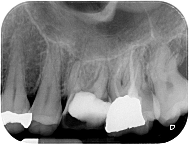
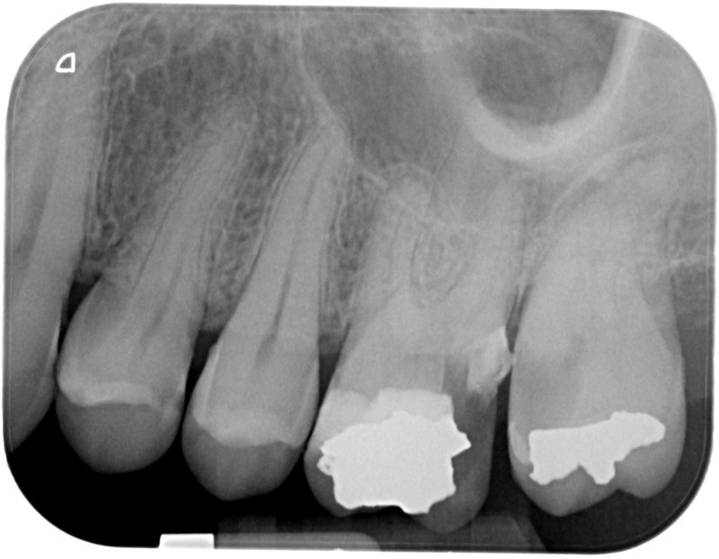
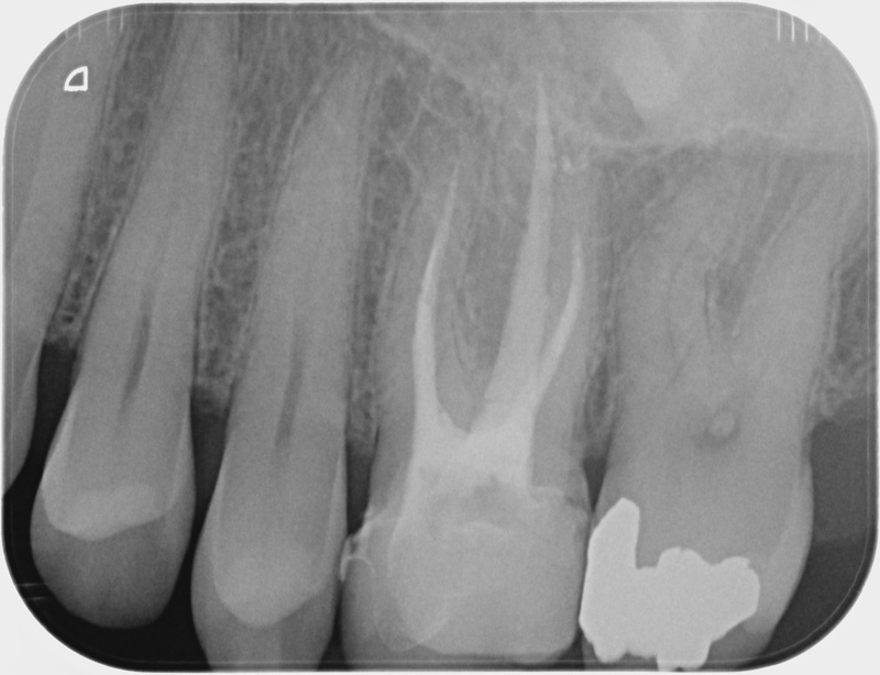
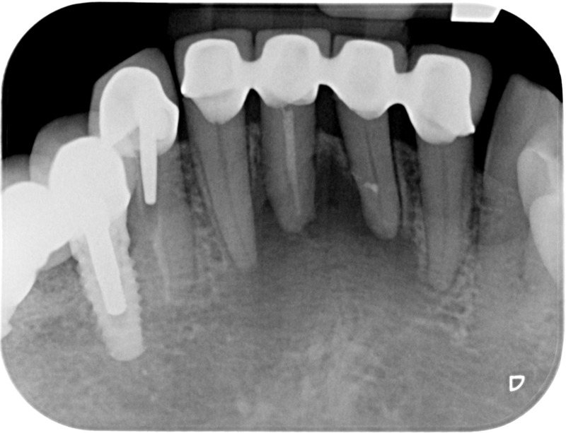
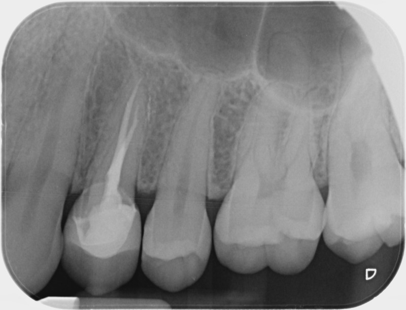
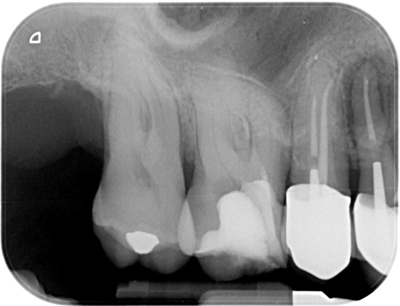
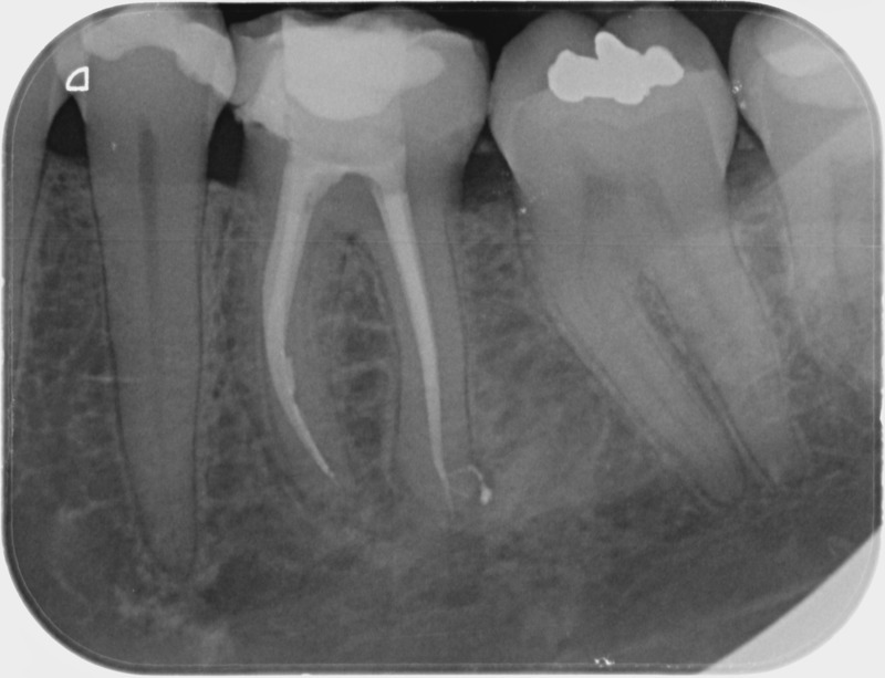
  • Reprise de traitement endodontique : La manœuvre consiste à retourner à l’intérieur des racines d’une dent déjà traitée. Il arrive occasionnellement qu’une nouvelle inflammation se déclare suite à une reprise de carie ou une fracture de la dent, ou si le premier traitement endodontique est incomplet. Après s’être assuré que la dent lésée était conservable, il convient de désinfecter de nouveau le réseau canalaire parfois très complexe. La nouvelle obturation des canaux devra être protégée aussi rapidement que possible pour éviter une éventuelle contamination bactérienne.

    Avant
    Après
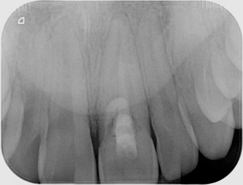
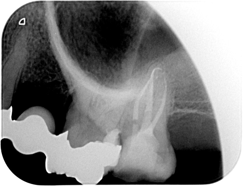
  • Apexification : Chez le jeune enfant, une dent immature victime d’un traumatisme ou d’une carie volumineuse peut poser problème. Si la pulpe agressée se nécrose, alors la racine ne s’édifie plus et une lésion inflammatoire se développe au niveau osseux. L’apexification, par apposition d’un matériau biocompatible dans la racine, cherche à induire la formation d’une barrière artificielle à l’extrémité de celle-ci, et permettre la cicatrisation de la lésion dans le but de maintenir la dent en bouche à long terme.

    Avant
    Après
Votre navigateur est obsolète !

Mettez à jour votre navigateur pour afficher correctement ce site Web. Mettre à jour maintenant

×