SOINS PROTHETIQUES

  • Bruxisme : Nous protégeons vos organes dentaires du bruxisme en vous proposant le port nocturne d’une gouttière en résine. Cette protection amovible empêche l’usure prématurée de vos dents, diminue la fatigue de vos muscles de la mâchoire et atténue les douleurs irradiantes devant l’oreille qui peuvent apparaitre à cause de cette parafonction.

  • Facettes : Ce sont de très fines pellicules en céramique à coller sur la face externe des dents antérieures. Elles sont confectionnées sur mesure et selon un projet esthétique prédéfini et validé par le patient. Elles permettent de corriger de légères malpositions dentaires, des anomalies de forme, ou de profondes altérations de teinte. Elles constituent une alternative aux couronnes dentaires prothétiques qui obligent à un délabrement plus important des dents. Nous suivons un protocole rigoureux sur plusieurs rendez-vous pour répondre à vos attentes car le but de notre travail est de redonner une harmonie au sourire disgracieux.

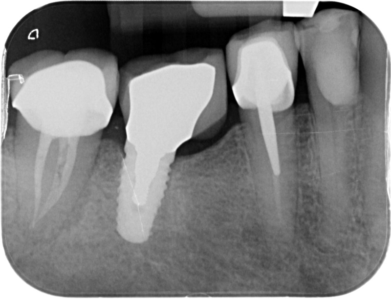
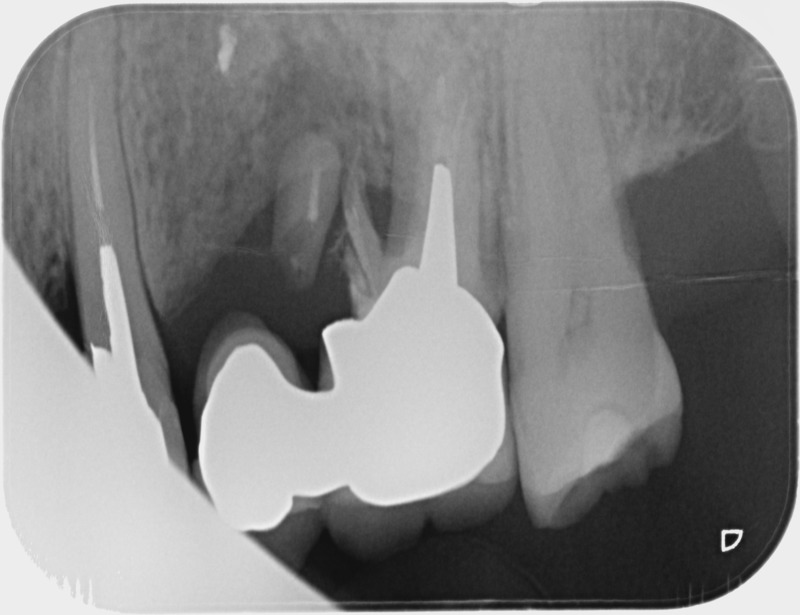
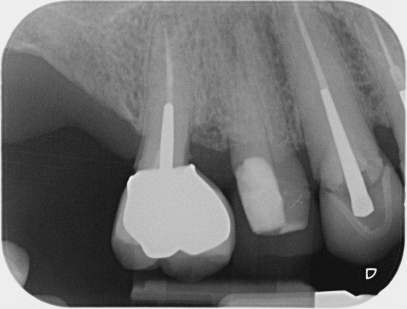
  • Couronnes céramiques : Ce sont des prothèses dentaires esthétiques, avec parfois une armature métallique, destinées à rétablir l’anatomie fortement délabrée d’une couronne dentaire naturelle. Une fracture ou une lésion carieuse peut sérieusement endommager une dent qui aura alors besoin d’une couronne périphérique artificielle pour assurer sa conservation. Le soin dit de « dévitalisation » ne prévoit pas systématiquement la protection de la dent par une couronne, l’indication est à évaluer en fonction de la perte de tissu dentaire. De la même manière une dent vivante peut nécessiter la pose d’une couronne céramique sans que nous envisagions de retirer le nerf de ses racines. La couronne « tout céramique », en plus de permettre une reproduction fidèle et esthétique de l’anatomie dentaire, assure un grand confort au patient par sa biocompatibilité.

  • Bridge : Littéralement il s’agit d’un « pont » entre deux dents piliers qui remplace une dent intermédiaire manquante. Le bridge est la solidarisation de plusieurs couronnes dentaires visant à rétablir une fonction masticatoire ou l’esthétique d’une bouche pour laquelle la solution implantaire n’a pas été permise.

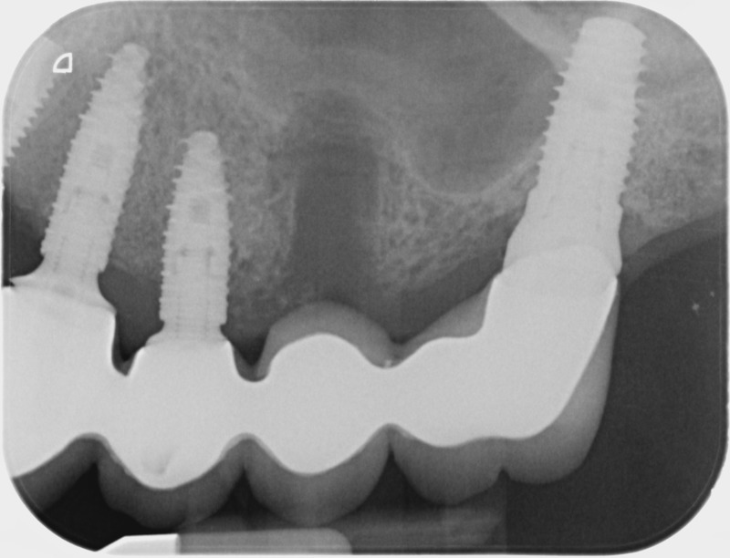
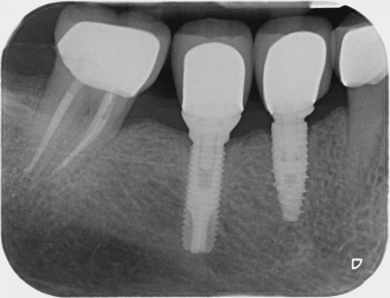
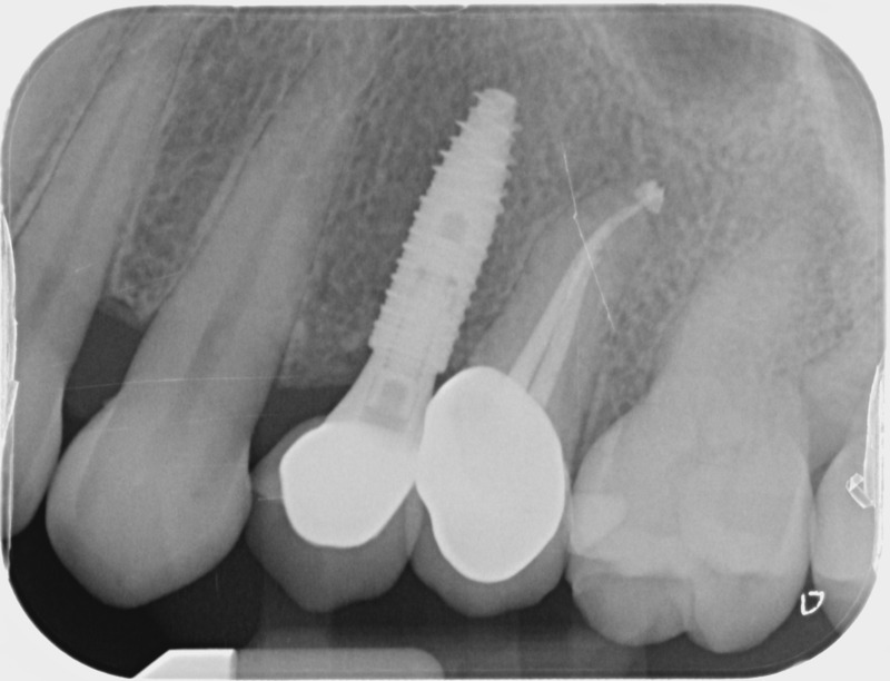
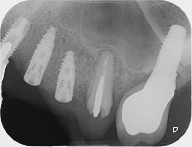
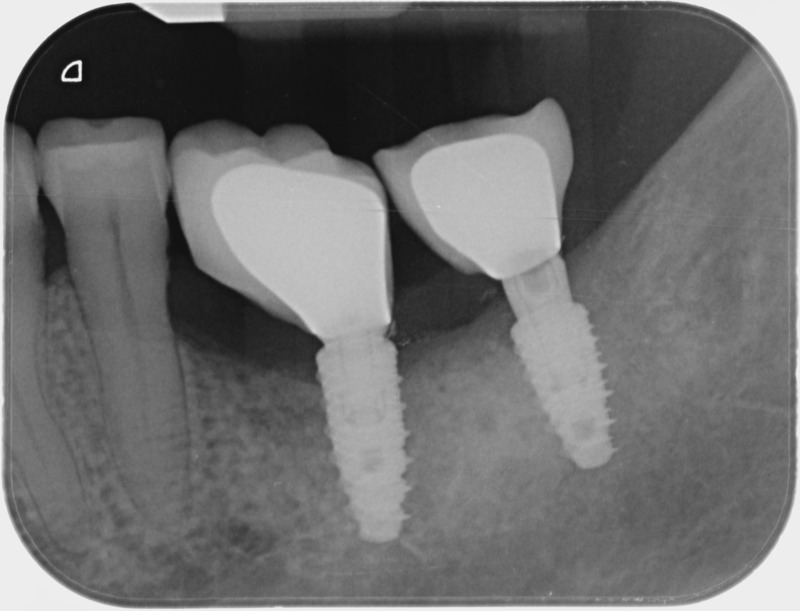
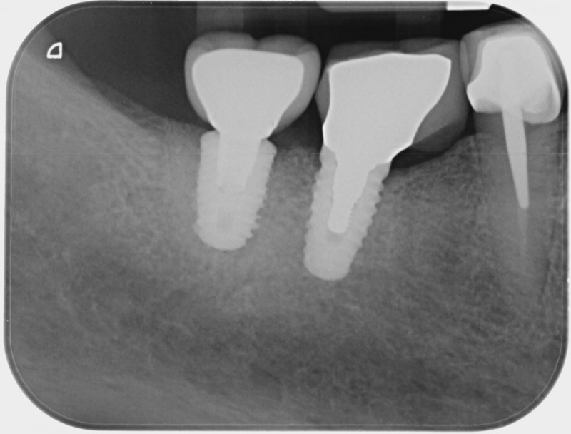
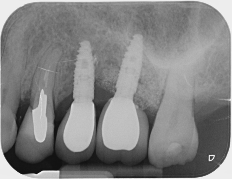
  • Couronnes sur implants : Lorsqu’un implant est posé en remplacement des racines d’une dent, il est conçu pour recevoir d’abord un pilier vissé puis une couronne céramique. Le couple couronne - implant se substitue à la dent manquante pour en assurer les mêmes fonctions. Nous pouvons également adapter un bridge sur plusieurs implants dans le cas d’un édentement plus important.

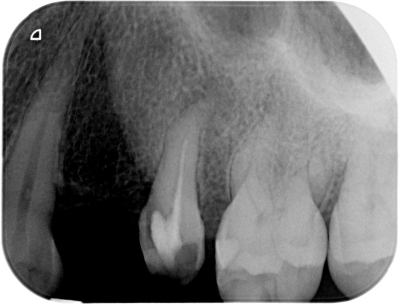
    Avant
    Après
Votre navigateur est obsolète !

Mettez à jour votre navigateur pour afficher correctement ce site Web. Mettre à jour maintenant

×